愛美女大生用無繩跳繩挑戰|5天瘦4公斤的新紀錄
- 享福先生(F老師)

- 2021年9月26日
- 讀畢需時 4 分鐘
線上運動會能激烈持續延燒,源自於各地高手不斷過招,難分勝負,激活第二季卡洛動我是跳神活動,當中有位來自北台灣參賽者,用時下流行能隨意切換模式的無繩跳繩,以及全力以赴的精神證明自己的實力,勇奪本屆跳繩次數最高的參賽者。人說:「年輕就是你最大的本錢」,這位大學生驚人的耐力證實這句話。

卡洛動我是跳神之無繩跳繩冠軍
#唐誼 是個從小好動又貪玩的孩子,對這個世界有強烈的探索欲,好奇心促使她願意去秘境冒險挑戰,不管是攀岩或爬山只要是能勾起她興趣的地方,就會去一探究竟。

看似酷帥的美少女在線上與大家一同分享五天跳繩參賽過程,聽她說,起初只是抱著隨性輕鬆的心情,來挑戰這次線上運動會。而新鮮好玩的事物總能引起她的好奇,當她第一次上傳那刻發現有個強勁的選手,在遠處陪伴,盡情揮灑汗水,以騰躍的姿態一起燃燒,當超越對手那刻起,每天都想著以時間的拉長突破自己昨天的紀錄,一次次跟自己比賽,雖然使用無繩跳繩,但也必須同時兼顧穩定性與速度,在跳躍運動過程中,她說:「自己的肌耐力也增強了不少,剛開始甩動一小時,就會有種跳繩握把要飛出去的感覺,一次次的反覆練習,慢慢的手臂能抓穩跳繩不在如此無力。」
新世代美少女|疫情前用什麼方式來運動鍛鍊保持身材?
#唐誼 說有時自己沒出門,會在家裡做核心運動及跑步,疫情前喜歡和好友去郊外爬山探險,自己也時常騎腳踏車,因為討厭把時間浪費在等公車這件事上,只要太陽不大就會選擇騎腳踏車回家。偶爾與朋友難得聚會,又不想違背媽媽設下的家規,此時U-bike自行車就是她最佳小夥伴選擇,省錢又省時,既能夠在門禁規定時間前壓線到達,又只要花一半的金額就能到,而在不知不覺中,以高強度間歇訓練,提升自己的肌耐力及反應力。

宅家抗疫用無繩跳繩開啟自己健身減肥挑戰
就讀實踐服裝系的女孩,疫情下體育老師規定每個學生都要騎車或跑步增加抵抗力,不喜愛長跑的#唐誼剛開始選擇騎車,每天都會騎乘一小時,約二十幾公里的UBIKE,但竟然自己所花的費用,遠比平常上學所需花費更高。美眉幽默的說,自己已經讀了一個很燒錢的科系,所以養成她凡事會多想一步的個性,剛好在疫情期間看到一個YOUTUBER,挑戰10天跳繩瘦兩公斤,看完了但她完全不相信,覺得應該是一個騙人的網紅效果,於是自己買了電子跳繩來親自實測,結果一邊調配飲食,一邊跳繩,真的在十天瘦了兩公斤,但她還想挑戰不可能,想要變更瘦,就開始了1個月跳繩計畫,從1開始,跳5分鐘就不想跳,到現在能夠跳上幾個小時都沒問題。機緣巧合加入了女性社團後,認識一群線上熱愛運動的朋友,就這樣默默地報名卡洛動我是跳神活動。
千禧寶寶世代|對自己「永遠不夠」的嚴格要求
外表古靈精怪走在街上,都會被誤認為歸國華僑,熱愛結交新朋友的性格未曾出國遊學,在台灣已有認識許多不同國家的年輕學生。

開朗活潑極具藝術天分的美少女,時常以細膩的觀察力,親手繪製一幅幅獨一無二的畫作送給外國友人,真的可以說小小年紀,就很擅長國民外交這件事。

雖然大家都會笑稱年輕就是本錢,還未開學就是可以整天多跳高,但其實參賽過程中她不僅是在挑戰自己,也堅持自己未達到目標,不能停下來的要求,由第3天的35,096下得知是為了累計總數到達88,888,她曾提到最後1天想來跳個吉利的數字,目標單天跳66,666下,做一個完美的結束。她有著「嚴以律己」的個性,除了控管飲食攝取熱量,規律運動鍛鍊,也才能夠達到自己想要的目標。
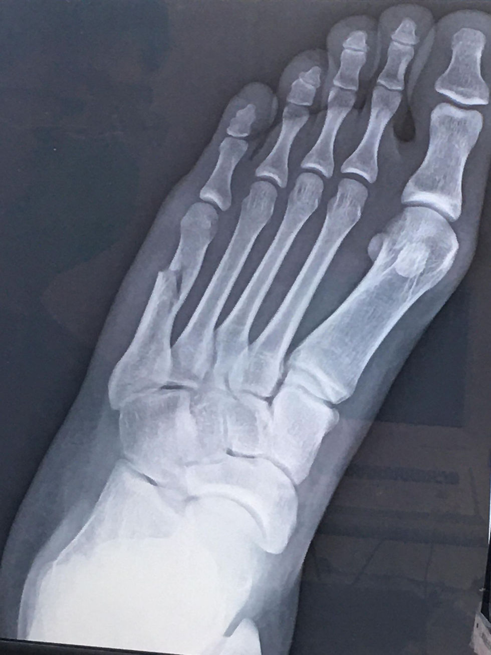
你所不知道的賽後精彩狀況|冠軍跳到自己腳掌骨折
當小編中秋連續假日聯絡冠軍得主,唐誼很震驚自己也可以獲得冠軍排名,

關心活動最後一天激烈的完賽之後,是否已經有好好休息恢復體力,但唐誼在電話裡卻笑笑地說,當天結束感覺腳軟自己在家從客廳走到廚房,不小心單腳翻船造成骨折,聽到喀嚓一聲,哇…當下聽到立刻被震驚到,收到唐誼發來的照片真的很為她擔心。

但善解人意的美眉馬上以很樂觀的語氣安慰起主辦方,還送小編一張腳比愛心的照片。這樣可愛又善良的小朋友,特別令人喜歡,不論有繩還是無繩,唐誼堅持到活動最後一分鐘的精神,可以證明不會輕言放棄自己的努力,希望她盡快早日康復,重回蹦蹦跳跳的每一天。主辦方真心感謝,每一位認真投入參加比賽的選手,你們展現努力不懈的運動家精神,在這紛擾的疫情年代,激勵了許多虛擬世界愛運動的朋友。




It took awhile, but Oklahoma State finally landed their first commitment for 2021 in Syracuse transfer Woody Newton.It's a little bit of relief to fans to finally see the Cowboys land a commitment for the class, especially after a year in which they landing the biggest recruit in the country and putting together a class nationally ranked in the Top-15 by every recruiting outlet that matters https://www.oscoutlet.com/Custom_Jersey-152. While the Cowboys aren't done, the list of players they are targeting - both in the portal and in high schoolcontinues to grow shorter and shorter as they commit elsewhere or narrow down their list of schools, excluding OSU in the process.There are likely three issues that are affecting Oklahoma Stat…